Engineered Human Therapies
This Tiny Engineered Protein Polymer Could Save Your Heart After a Heart Attack
Researchers have developed a smart polymer that boosts heart tissue repair after a heart attack — and it works up to five weeks after injection

[Canva]
Scientists have long wrestled with the challenge of preventing heart failure after a heart attack. Now, a new therapy delivered via a simple IV injection could offer a game-changing solution.
Researchers at the University of California San Diego and Northwestern University have created a bioengineered platform that not only sparks the immune system to kickstart tissue repair but also helps heart muscle cells survive the trauma of a heart attack. Tested successfully in rats, the therapy remains effective for up to five weeks after administration. Their findings appeared in the April 25 issue of Advanced Materials.

“Preventing heart failure after a heart attack is still a major unmet clinical need,” said Karen Christman, one of the study’s corresponding authors and a professor in the Shu Chien-Gene Lay Department of Bioengineering at the UC San Diego Jacobs School of Engineering. “The goal of this therapy is to intervene very soon after someone suffers a heart attack to keep them from ultimately going into heart failure.”
The innovation goes beyond just heart disease. “This therapeutic platform has tremendous potential for several diseases, including everything from macular degeneration to multiple sclerosis and kidney disease,” said Nathan Gianneschi, the paper’s other corresponding author and a professor of chemistry at Northwestern.
At the core of the therapy is a clever molecular hack. After a heart attack, the body’s stress response involves two key proteins: Nrf2, which protects cells against inflammatory damage, and KEAP1, which binds to Nrf2 and triggers its destruction. The therapeutic breakthrough? Stopping KEAP1 from sabotaging Nrf2.
To do this, the researchers engineered a polymer called a protein-like polymer (PLP). Designed to mimic Nrf2’s shape, the PLP is injected into the bloodstream, where it hunts down KEAP1, binds to it, and prevents it from degrading the real Nrf2 proteins—allowing the natural protective mechanisms of the body to proceed uninterrupted.
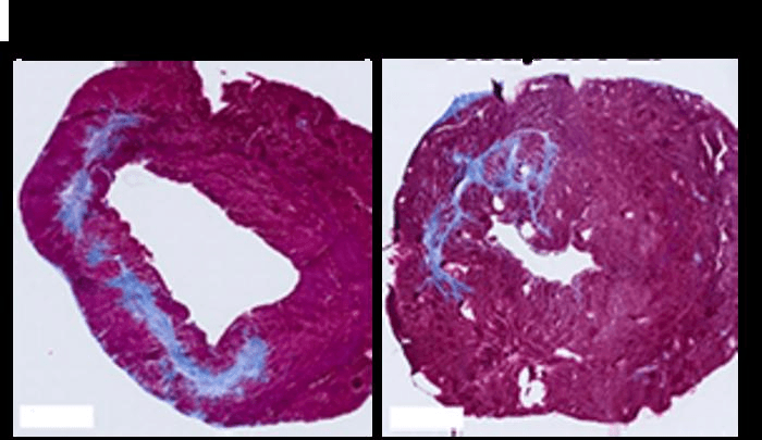
To test the approach, the team induced heart attacks in rats and then treated them with either the PLP therapy or a saline placebo. Researchers remained blinded to which rats received which treatment. Five weeks later, MRIs revealed a dramatic difference: the rats injected with the polymer showed better heart function and significantly improved healing of heart muscle. Gene expression analysis further confirmed that regenerative processes were more active in the treated animals.
This study marks an important proof of concept, but researchers emphasize that more work lies ahead. Before the therapy can move to larger animal models — and eventually human trials — the team plans to fine-tune the polymer design, optimize dosing, and expand their molecular analyses.
“Proteins are the molecular machines that drive all essential cellular function, and dysregulated intracellular protein-protein interactions are the cause of many human diseases,” Gianneschi said. “Existing drug modalities are either unable to penetrate cells or cannot effectively engage these large disease target domains. We are looking at these challenges through a new lens.”
Read More
Newletter & More

SynBioBeta
Join the innovators shaping the future with SynBio + AI. From health to ag, materials & more—be part of the revolution.
















